「意外と知らない」シンスプリントと似た症状の病気(疲労骨折)との見分け方
2025年10月3日
シンスプリント(脛骨過労性骨膜炎)と疲労骨折の見分け方のポイントを整理しました。運動選手や日常的に長時間の負荷をかける人が対象です。ただし痛みが続く場合は必ず医療機関を受診してください。
1. 基本的な特徴の違い
シンスプリント(脛骨過労性疼痛)①痛みの部位:脛の内側前下方、circumferentialに広がる痛み。②発症機序:慢性的な繰返し負荷(走行距離の増加、靴の問題、硬い地面など)。③痛みの性質:運動中・直後に強くなり、休息で軽減する傾向。④痛みの広がり:脛骨周囲の筋肉・腱付着部の炎症として現れることが多い。
疲労骨折 ①痛みの部位:脛骨の特定部位に局所的な痛み。圧痛が強く、骨の一点に集中することが多い。②発症機序:過度な繰り返しストレスの蓄積により骨自体が微小骨折を繰り返す状態。③痛みの性質:安静時にも痛みがあり、夜間痛を訴えることも。運動を始めると痛みが増強するが、休むと痛みが持続する場合がある。④進行性:放置すると骨折線が広がるリスクがある。運動を続けると悪化する可能性が高い。
2. 自覚症状の差
シンスプリント ①初期には歩行時・走行時の痛みが中心。②痛みは比較的安静時に軽減することがある。 ③圧痛は脛の内側の広い範囲で感じることが多い。
疲労骨折 ①圧痛が局所的で、触れると強い痛みが出ることが多い。②安静時にも痛みがある、または夜間痛が出ることがある。③痛みが数日〜数週間続き、運動を再開すると急激に悪化する場合がある。
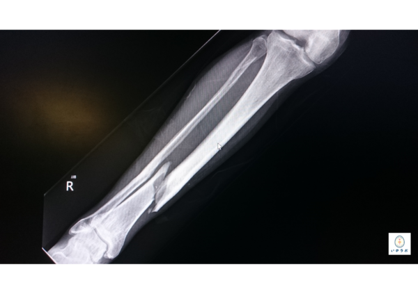
3.臨床検査と画像
画像検査:
①X線: 初期は陰性になり得るが、疲労骨折は時間経過とともに低線量の骨梁の変化や微細な裂隙が見えることがある。急性の骨折は典型的に陰影変化を伴う。
②MRI/CT: 疲労骨折の診断に有用。MRIでは骨髄浮腫とともに明瞭な局在性の骨挫傷・骨折線が確認される。シンスプリントはMRIで筋膜・骨膜の疼痛性炎症や筋群の過負荷変化が見える程度。
③超音波: – シンスプリントで筋膜の肥厚・筋腱の腱膜性変化が観察される場合がある。疲労骨折では骨髄浮腫の評価には不十分なことが多い。
4.進行と治療方針の違い シンスプリント:初期対応は荷重の軽減、適切な休養、フォーム修正、靴・インソールの適正化、柔軟性訓練、段階的なトレーニング再開。痛みが軽快するまで数週〜数か月かかることがある。 疲労骨折:固定、2~3ヵ月は安静 まずは、シンスプリントであっても疲労骨折であってもしっかりとした医療機関で診てもらうことが大切です。お困りの際はいのラボグループまでご相談ください。
○各院へのお問い合わせはこちらから!
「中之口いのまた接骨院」
〒950−1341
新潟市西蒲区道上4702
☎︎025−375−2231
診療時間 8:30〜12:00/15:00〜19:00
休診日:第2日曜日
「はり灸接骨院いのラボ近江院」
〒950−0971
新潟市中央区近江3−32−6
☎︎025−283−0100
診療時間 8:30〜12:00/15:00〜20:00
休診日:木曜午後、日曜日
「はり灸接骨院いのラボ小新院」
〒950−2024
新潟市西区小新西2−20−25
☎︎025−234-0123
診療時間 8:30〜12:00/15:00〜20:00
休診日:木曜午後、日曜日



